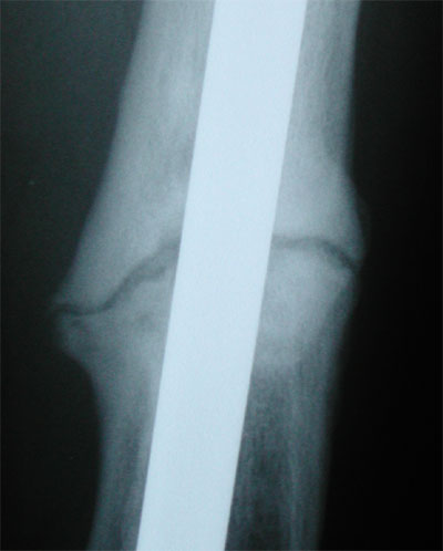
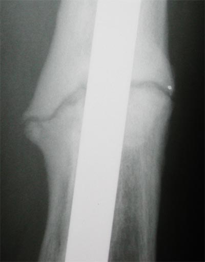
June 30, 2005 X-ray update

Again, things are feeling better, and this time the doctor even thinks he sees signs of progress, slow that it is. Left image is May 5, and on the right is June 30. The gaps are not changing much from the front view, but you can see where the space in between looks like is has more bone showing through. See the Lateral View to see what is happening there.