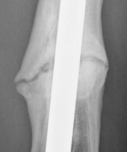
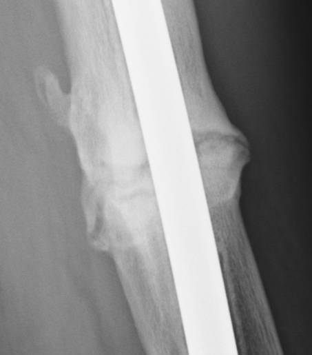
June 22, 2010 X-ray update

The adventure continues!

Forive me people for I have sinned. It has been two years since my last update. But seriously, there is much improvement to report. Based on activity and how it feels things are progressing very well. The x-rays also show more bone growth which adds to the good sign.

I did tear a meniscus in my right knee last summer. It was a small tear and has hopefully healed. I am still cautious though. I believe it was a result of muscle imbalances and continued wear from that lack of alignment. My posterior chain muscles - hamstrings, glutes, and lower back - are underdeveloped and a bit uncoordinated. My left quadriceps is also still at about 50% of my right leg.

This year I have undertaken deliberate strength and muscle mass training programs for my legs. So far results are very encouraging. The muscle mass program is mostly reps in the 10-16 count range. Strength comes from reps, and corresponding weight increases, in the 4-8 range. My leg strength and ability is growing, albeit very slowly. At this rate it could take up to a year to get my full strength back. Progress, not perfection.

It feels great to be showing lots of progress though. I am able to work out more, bike more, and even have taken up hiking the hills again. I'm still not fit enough to hike when it gets really hot, but I am working on that. Thanks for tuning in again if you have followed the adventures this far!

Kurt.

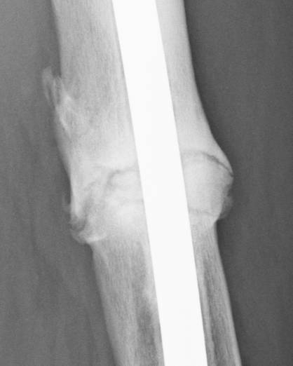
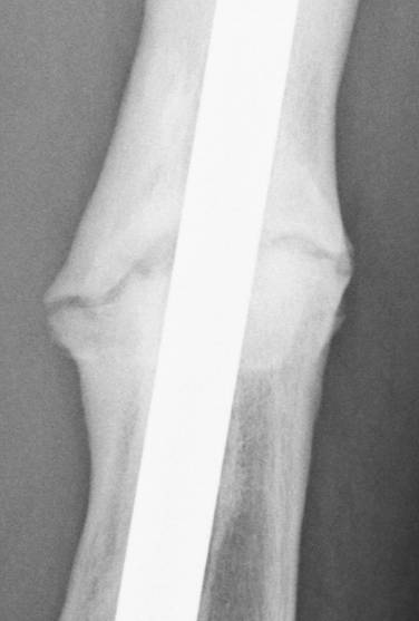
Feb. 21, 2008 June 22, 2010
Feb. 21, 2008 jUNE 22, 2010